症例01|70代女性|
下の入れ歯がすぐに外れる。噛みにくい。
主訴
【口腔内写真】
上下ともに顎堤の吸収が大きい。上はフラビーガム。

こちらの患者さんは上下総入れ歯を使用中でした。
下の入れ歯は吸着がなく、すぐに外れる状態でした。入れ歯辺縁の長さが長く、頬小帯部も強く押し込んでいたため、口を動かすたびに筋肉により入れ歯が持ち上がっていました。
また、バランスの良い噛み合わせではなかったため、入れ歯ががたつき、噛みにくい状態でした。
歯並びの位置の変更が必要であったため、新しく入れ歯を製作することにしました。
治療前にご使用中の上下総入れ歯

治療箇所
全顎
治療方法
1日目
既製のトレーでは、個々の顎堤吸収の程度に合わせた型取りが難しいので、患者様ごとのトレーを製作するため、まずはアルジネートで簡単な型取りをしました。
患者様ごとの上下トレー

2日目
上の精密な型取りをし、口を動かした際に入れ歯が外れないように、筋肉の動きを考慮し、型取りをしました。
上の精密な型取り

3日目
下の型取りは噛んだ状態で行います。そのため、まずは噛み合わせの高さをとり、その後、下の精密な型取りをしました。
左:下の精密な型取り

4日目
水平的な顎の位置を決定するため、ゴシックアーチをし、左右の顎関節の動きを確認しました。
ゴシックアーチ

5日目
人工歯をワックスの上に並べ、前歯の見え方を確認と顆路の測定もしました。
6日目
上下すべての人工歯を並べ、お口の中で合わせました。口元の張りや歯の見え方、入れ歯の吸着、噛み合わせの位置、発音等を確認し、微調整しました。
7日目
上下の入れ歯をお口の中で微調整をした後、装着しました。

数回の調整後、メンテナンスに移行しました。
費用(税込)
| 上の総入れ歯 | 330,000円 |
|---|---|
| 下の総入れ歯 | 330,000円 |
治療期間
2か月
リスク・副作用
顎堤の経年変化や人工歯の咬耗に合わせ、入れ歯を調整する必要がある。
症例02|40代男性|
下の前歯が抜けた。急ぎで入れ歯を作りたい。
主訴
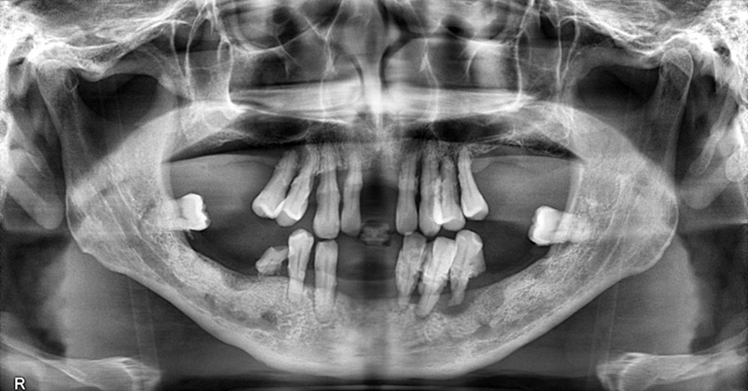
術前のパノラマX線写真

下の前歯3本が自然脱落されたとのことでした。下の入れ歯はご使用ではなかったため、入れ歯修理で対応することはできませんでした。入れ歯を一から製作する必要があり、かつ見た目や発音の点から、早急な対応をご希望でした。3日連続で来院していただけたため、早急に入れ歯を装着することができました。
治療箇所
下顎
治療方法
1日目
【治療】
型取りで抜けてしまいそうなほど動揺の大きい右下1本と、左下3本を抜歯しました。
動揺はあるものの型取りに耐えられそうな歯は保存し、抜歯後すぐに上下の型取りを行いました。
(所要時間:1.5時間)
【入れ歯製作】
模型を製作し、噛み合わせを採るための道具(咬合床)を製作しました。
2日目
【治療】
上下の噛み合わせを採り、人工歯の選択を行いました。
(所要時間:1.5時間)
【入れ歯製作】
模型を咬合器に装着し、バネの製作・人工歯排列をしました。バネは見えにくいように、歯頸部よりに製作しました。急ぎであったため、試適は行わず、埋没・填入・割り出しし、入れ歯を完成させました。
模型上で人工歯排列

3日目
【治療】
出来上がった下の入れ歯をお口に合わせて調整し、入れ歯をお渡ししました。
(所要時間:2.0時間)
完成した下の入れ歯

費用(税込)
| 抜歯 | 1本 11,000円×4 |
|---|---|
| 下の急ぎの入れ歯 | 220,000円 |
治療期間
3日
リスク・副作用
初めての下の入れ歯のため、慣れが必要です。
抜歯窩の治癒に伴い、入れ歯内面を合わせてあげる必要があります。
症例03|60代男性|
1本残っている歯の痛みがあるため、抜きたい。新しく入れ歯を作りたい。
主訴
術前上下口腔内写真

上は総入れ歯、下は部分入れ歯をご使用中でした。1年前に製作した入れ歯でしたが、下の部分入れ歯は調整しても繰り返し痛みが生じていました。上の総入れ歯も外れやすく、歯列も右下がりで野菜もたべにくい状態でした。
術前の上下の入れ歯

下の部分入れ歯は全体的に辺縁の長さが短く、入れ歯を安定させるために必要な大きさではありませんでした。内面の適合も悪く、残っている1本を抜歯して入れ歯に歯を足しただけでは総入れ歯として機能させることは難しいと判断しました。そのため、1本抜歯と同時に下の仮入れ歯を装着することとしました。その後、抜歯窩の治癒を待ち、上下本入れ歯を製作することとしました。
治療箇所
全顎
治療方法
下の仮入れ歯製作
1日目
【治療】
抜歯と同日に下の仮入れ歯を装着するため、抜歯前に入れ歯製作を開始しました。
上の総入れ歯の型取り、下の入れ歯なしの型取りをしました。
(所要時間:1.0時間)
【入れ歯製作】
上下の模型を製作し、下の噛み合わせを採るための道具(咬合床)を製作しました。
左:下の型取り / 右:下の模型

2日目
【治療】
噛み合わせを取り、人工歯の選択をしました。
(所要時間:1.5時間)
【入れ歯製作】
上下の模型を咬合器に装着し、模型上で抜歯予定の左下の歯を削合してから歯を並べ、下の総入れ歯を製作しました。
左:下噛み合わせ取り / 右:下内面調整

3日目
【治療】
左下の糸切歯を抜歯しました。抜歯同日に下の仮の総入れ歯を装着しました。
(所要時間:2.0時間)
3日目以降〜本入れ歯製作開始まで
【治療】
抜歯窩治癒に伴い、顎堤と入れ歯との間に隙ができるため、数回入れ歯の調整を行いました。抜歯窩治癒のため1か月ほど待ってから、本入れ歯製作を開始しました。
本入れ歯製作
1日目
【治療】
下の仮入れ歯の型取りをしました。
(所要時間:0.5時間)
【入れ歯製作】
下は仮入れ歯のコピーデンチャーを製作しました。
下コピーデンチャー製作

2日目
【治療】
個人トレーを用いて、上の精密な型取りをしました。
(所要時間:1.5時間)
【入れ歯製作】
上の模型を製作しました。上の噛み合わせを採るための道具(咬合床)を製作しました。
左:上個人トレー / 右:上の精密な型取り

3日目
【治療】
噛み合わせを採ってから、噛んだ状態で下の精密な型取りをしました。フェイスボートランスファーを行いました。
(所要時間:2.5時間)
【入れ歯製作】
下の模型を製作し、咬合器に上下の模型を装着しました。左右のズレが無いようにするための装置(ゴシックアーチ)を製作しました。
左:噛み合わせ取り / 右:下の模型

4日目
【治療】
ゴシックアーチをして、左右のズレを修正しました。
(所要時間:1.5時間)
【入れ歯製作】
下の模型を咬合器に再装着し、前歯の排列をしました。顆路角を測定するための装置を製作しました。
左:ゴシックアーチ / 右:咬合器装着

5日目
【治療】
咬合床を試適し、顆路角を測定しました。
(所要時間:1.5時間)
【入れ歯製作】
全部の歯を排列し、入れ歯の形を整えました。
6日目
【治療】
全部の歯を試適し、右で噛んでも、左で噛んでも入れ歯ががたつかないように調整しました。(フルバランス)
(所要時間:2.0時間)
人工歯排列

7日目
【治療】
再度、歯を並べたものを試適し、入れ歯の吸着、噛み合わせ、見た目、発音等を確認しました。
(所要時間:2.0時間)
【入れ歯製作】
試適した咬合床をフラスコに埋没し、填入・重合をし、入れ歯を完成させました。
入れ歯をフラスコに埋没

8日目
【治療】
上下総入れ歯セットしました。入れ歯形態や噛み合わせ等を微調整しました。
(所要時間:2.0時間)
左:上の総入れ歯 / 右:下の総入れ歯

フルバランス:右側方運動時

真っすぐ噛んだ時

フルバランス:左側方運動時

8日目以降
数回の入れ歯調整後、メンテナンスに移行しました。
噛み合わせをフルバランスにしたことで、食べ物をすり潰すことができ、野菜を食べられるようになりました。
費用(税込)
| 下の仮入れ歯 | 110,000円 |
|---|---|
| 抜歯1本 | 11,000円 |
| 仮入れ歯調整代 | 3,300円/回 |
| 上の総入れ歯 | 330,000円 |
| 下の総入れ歯 | 330,000円 |
(製作当時の費用となります。現在は多少異なります。)
治療期間
4か月
リスク・副作用
体重や体調の変化に伴い顎堤が変化することがあります。その場合は、変化に合わせて入れ歯を修理調整する必要があります。
症例04|60代女性|
下の歯がぐらぐらしている。新しく入れ歯を作りたい。
主訴
術前のパノラマX線写真

以前、他医院で上下の部分入れ歯を製作したが、下の入れ歯はバネが見えてしまうため使用しなかったとのことでした。
下の前歯部の動揺が大きくなり、抜けてしまうと見た目が良くないため、急ぎで入れ歯を製作したいとのご希望でした。
ご使用中の上の入れ歯もすぐに外れてしまい、上前歯部の見え方もご自身の歯があった時と比べ、見えなくなっていることを気にされていました。
そのため、ご自身の歯があった時のような見え方になるように排列を工夫し、上下の入れ歯を製作することにしました。
動揺の大きい下5本は抜歯し、バネに耐えられそうな3本は保存を試みることにしました。
以前製作した下の部分入れ歯は太いバネ(鋳造のクラスプ)が近心方向からかかっていたため、とても目立っていました。今回は細いバネ(ワイヤークラスプ)にし、遠心から、かつ歯頸部よりに走行させることでバネが目立たない工夫をすることにしました。
抜歯し、5日後には入れ歯をセットすることにしました。
治療箇所
全顎
治療方法
1日目
【治療】
初診カウンセリング、検査をしました。
2日目
【治療】
診断後、上のトレー用の型取りをしました。
【入れ歯製作】
上のトレーを製作しました。
3日目
【治療】
上の精密な型取りをし、下5本抜歯しました。その後、下の型取りをしました。
【入れ歯製作】
上下の模型を製作しました。咬合床を製作しました。
4日目
【治療】
噛み合わせを取り、人工歯を選択しました。
【入れ歯製作】
ゴシックアーチ装置を製作しました。前歯部を咬合床に排列しました。
5日目
【治療】
ゴシックアーチを取りました。下の部分入れ歯を長い間使用してないため、噛む位置は安定していませんでした。
ご自身の歯があった時のような見え方になるように、前歯部の排列を調整しました。
【入れ歯製作】
顆路測定装置の制作をし、咬合床に全部の歯を排列しました。
ゴシックアーチ。タッピングポイントは安定しない。

6日目
【治療】
顆路測定、全顎試適を行いました。噛み合わせが安定しないため、どこでも噛めるよう、人工歯排列をフルバランスとしました。
【入れ歯製作】
試適した咬合床をフラスコに埋没し、填入・重合をし、入れ歯を完成させました。
7日目
【治療】
上下の入れ歯セットしました。抜歯窩治癒に伴い、顎堤形態が変化しているため、下の入れ歯はリライニングしました。噛み合わせや入れ歯形態を微調整しました。
新しい入れ歯の前方面観

左:新しい総入れ歯 / 右:新しい部分入れ歯

7日目以降
数回の入れ歯調整後、メンテナンスに移行しました。
費用(税込)
| 初診・検査 | 16,500円 |
|---|---|
| 診断 | 11,000円 |
| 抜歯 | 1本 5,500円×5 |
| 上の総入れ歯 | 330,000円 |
| 下の部分入れ歯 | 220,000円 |
| 入れ歯調整 | 1回 5,500円 |
(現在の治療費用と多少異なります。)
リスク・副作用
抜歯窩の治癒に伴い、入れ歯と顎堤の間に多少の隙が生じます。隙が生じた場合は入れ歯内面を顎堤に合わせてあげる必要があります。
長い間、下の入れ歯を使用していなかったため、咀嚼するために必要な筋力が衰えています。奥歯で噛めるようになると、咀嚼筋が発達していき、噛む位置が変化していく可能性がある。人工歯排列をフルバランスとしているため、多少の変化は問題ないが、大きく変化した場合は調整が必要です。
保存した歯の動揺が大きくなり、保存が厳しくなった場合は抜歯し入れ歯の修理が必要です。新しく入れ歯を作り替える必要はなく、抜歯同日に修理できるため入れ歯がないという期間はなくてすみます。
症例05|70代女性|
入れ歯が合わない(他医院からの紹介があった症例)
主訴
どの医院で作っても噛むことが出来ず、今までに20個くらいは作っている入れ歯製作の大変難しい患者様でした。お口を大きく開けることが出来ず、写真を撮ることも型取りをすることも難しい方でした。
特に下の顎堤吸収が著しいため、下の入れ歯が安定せず、痛みや噛みにくさを招いていました。
まずはお口を開けられるように口腔周囲のマッサージや口の体操を取り入れました。
その後上下の総入れ歯製作を丁寧に行っていきました。
入れ歯セット後は食事時の姿勢の改善や、入れ歯の使い方指導も行いました。
左:今まで使用していた下の入れ歯 / 右:新しい下の入れ歯

治療箇所
全顎
治療方法
1日目
【治療】
上下のトレー用の型取りを行いました。
【入れ歯製作】
上のトレー、下の咬合床の製作を行いました。
2日目
【治療】
上の精密な型取りをしました。
【入れ歯製作】
上の模型を製作しました。
上の精密な型取り

3日目
【治療】
噛み合わせを取り、噛んだ状態で下の精密な型取りをしました。
【入れ歯製作】
下の模型を製作、上下の模型を咬合器に装着しました。上下の咬合床の製作とゴシックアーチ装置の製作をしました。前歯部の排列をしました。
下の精密な型取り

左:下の模型上方面観 / 右:下の模型側方面観

4日目
【治療】
ゴシックアーチと前歯部の試適をしました。
【入れ歯製作】
咬合器の再装着と顆路測定装置の製作をしました。
ゴシックアーチ

5日目
【治療】
顆路の測定をしました。
【入れ歯製作】
咬合床に全部の人工歯を排列しました。
6~8日目
【治療】
全顎試適(3回)入れ歯形態と歯並びを丁寧に調和させる必要があったため、試適を3回行いました。
【入れ歯製作】
試適した咬合床をフラスコに埋没し、填入・重合をし、入れ歯を完成させました。

9日目
【治療】
上下総入れ歯をセットしました。

食事時の姿勢が前かがみであったため、姿勢の改善が必要でした。
また、長い間噛まずに飲み込んでいたことから、咀嚼筋が大変衰えていました。しっかり噛むことで咀嚼筋の筋力向上を望みたいと考えています。
9日目以降
【治療】
入れ歯の調整、生活習慣の改善、お口周りの筋力トレーニングを継続しています。
費用(税込)
| 上の総入れ歯 | 330,000円 |
|---|---|
| 下の総入れ歯 | 330,000円 |
治療期間
3か月
リスク・副作用
顎堤の吸収が著しい患者様は、歯並びの位置と入れ歯形態を丁寧に調和させる必要があります。
そのため、試適の回数が多くなり、治療回数が増えます。
噛めるようになるためには、食事時の姿勢の改善や咀嚼筋の筋力向上が必要です。そのため、治療期間は長くなりやすくなります。
咀嚼筋の筋力向上トレーニングや口腔周囲筋の体操・マッサージは毎日行ことが大切であるため、患者様のご協力が必要です。
筋力がつくと入れ歯の形態にも影響するため、形態の変更が必要になることもあります。
症例06|60代女性|
目立たない入れ歯を作りたい。
主訴
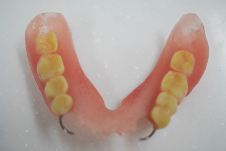
左右の下の奥歯が欠損した部分を補う入れ歯を使用しています。糸切歯に金属のバネを使用しているため、バネが見えやすい状態でした。入れ歯と分かりにくくするために金属のバネを使用しない入れ歯(ノンメタルクラスプデンチャー)を製作することにしました。ノンクラスプデンチャーは見た目は良いが、軟かい材料のため、たわみやすく、痛みや噛みにくさが生じやすい入れ歯です。それを解決するため、見えないところ(舌側側)に金属を使用し、床のたわみをなくし、機能性と審美性を兼ね備えた入れ歯を製作しました。
使用中の下の部分入れ歯

治療箇所
下顎
治療方法
1日目
【治療】
バネのかかる歯の形態を整え、上下簡単な型取りをしました。
【入れ歯製作】
上の模型製作と下のトレーの製作をしました。
2日目
【治療】
患者様のお口に合わせて製作したトレーを用いて、下の精密な型取りをしました。
【入れ歯製作】
下の模型の製作と咬合床の製作をしました。
3日目
【治療】
噛み合わせをとり、人工歯を選択しました。
【入れ歯製作】
模型を咬合器に装着し、メタルフレームの製作と下の歯を排列しました。
4日目
【治療】
お口の中に金属床付き咬合床を試適しました。
【入れ歯製作】
ノンメタルクラスプデンチャーを製作しました。
5日目
【治療】
下の金属床付きノンメタルクラスプデンチャーをセットしました。
金属のバネを使用しない下の部分入れ歯

5日目以降
3回の調整後メンテナンスに移行しました。
費用(税込)
| 下の金属床付きノンメタルクラスプデンチャー | 440,000円 |
|---|
治療期間
2か月
リスク・副作用
経年的に変化する顎堤に合わせて、入れ歯を調整する必要があります。
ノンクラスプデンチャーの材料には様々あり、修理ができないものもあります。
当医院では、長くお使いいただけるように、顎堤が変化しても修理できるように、修理可能なノンクラスプデンチャーの材料を用いています。